¸Þ´º°æ·Î ¹æÇâ Ç¥½Ã
  • ·Î±×ÀÎ
  • Àüü¸Þ´º

ÀÚµ¿·Î±×¾Æ¿ô¾È³»

ÀÚµ¿ ·Î±×¾Æ¿ô ³²Àº ½Ã°£ : 30ÃÊ

°í°´´ÔÀÇ ¾ÈÀüÇÑ Á¤º¸º¸¾ÈÀ» À§ÇØ ·Î±×ÀÎ ÈÄ ¾à10ºÐµ¿¾È ¼­ºñ½º ÀÌ¿ëÀÌ ¾ø¾î ÀÚµ¿ ·Î±×¾Æ¿ô µË´Ï´Ù. ·Î±×ÀÎ ½Ã°£À» ¿¬ÀåÇϽðڽÀ´Ï±î?

ÀÚµ¿·Î±×¾Æ¿ô¾È³»

°í°´´ÔÀÇ ¾ÈÀüÇÑ Á¤º¸º¸¾ÈÀ» À§ÇØ ·Î±×ÀÎ ÈÄ ¾à10ºÐµ¿¾È ¼­ºñ½º ÀÌ¿ëÀÌ ¾ø¾î ÀÚµ¿ ·Î±×¾Æ¿ô µÇ¾ú½À´Ï´Ù.

º¸µµÀÚ·á

Home > ÀÇ·á¿øPR > º¸µµÀÚ·á
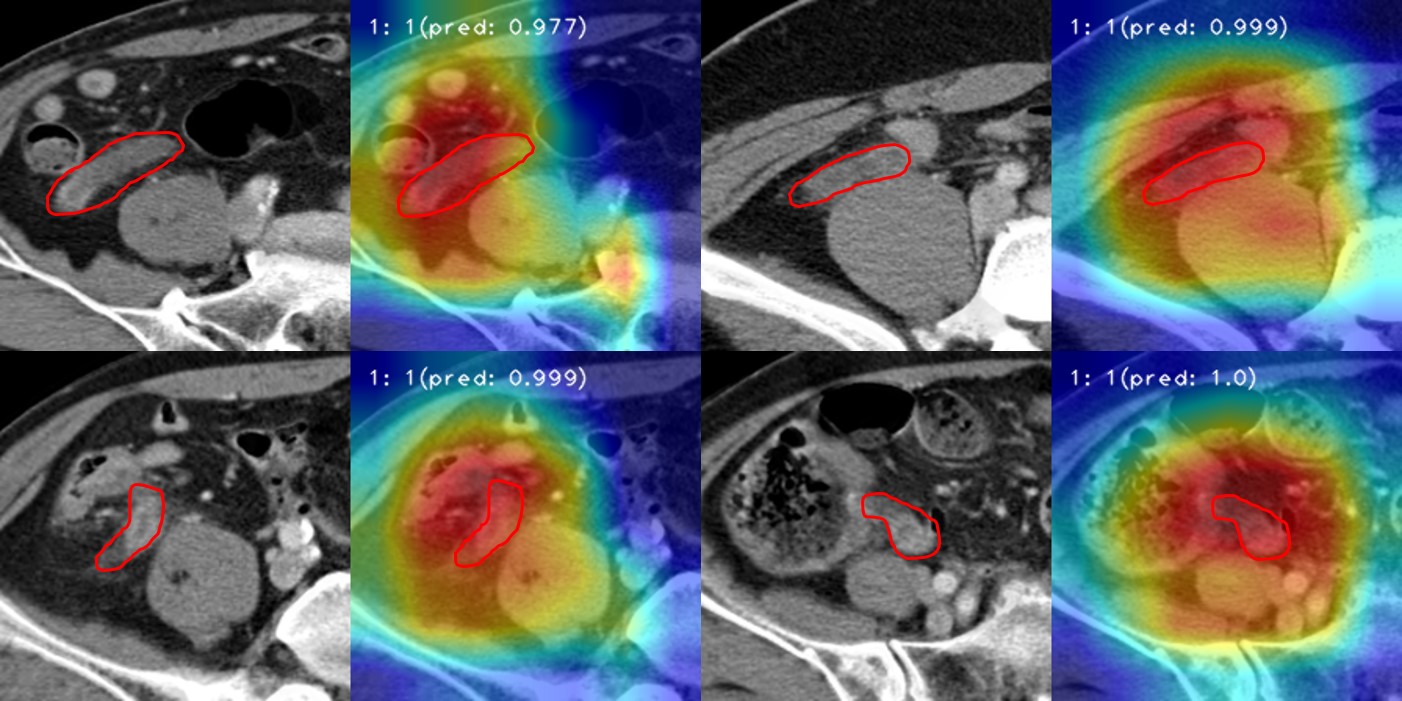
  • ¡®Á¤È®µµ 89.4%¡¯ ¡¦ CT¿µ»ó ÆÇµ¶ Ãæ¼ö¿° ÀÚµ¿ Áø´Ü AI ¸ðµ¨ °³¹ß
³¯Â¥ :
ÇѸ²/2022.11.23
Á¶È¸¼ö :
3665

³»¿ë

  • ¡®Á¤È®µµ 89.4%¡¯ ¡¦ CT¿µ»ó ÆÇµ¶ Ãæ¼ö¿° ÀÚµ¿ Áø´Ü AI ¸ðµ¨ °³¹ß
    - ±Þ¼ºÃæ¼ö¿°, Áø´Ü ´Ê¾îÁö¸é õ°ø¡¤º¹¸·¿°¡¤°ñ¹Ý³»³ó¾ç ¹ß»ý, ¼ö¼ú ÈÄ ÇÕº´Áõ Áõ°¡
    - AI ¸ðµ¨ÀÌ CT ºÐ¼®ÇØ ´ëÀå¿°¡¤¸»´ÜȸÀå¿° µî Ãæ¼ö¿° À¯»çÁúȯ °É·¯³»°í Ãæ¼ö¿°¸¸ Áø´Ü

    ±¹³» ÀÇ·áÁøÀÌ ÄÄÇ»ÅÍ´ÜÃþÃÔ¿µ(CT) ¿µ»óÀ» ºÐ¼®ÇØ Ãæ¼ö¿°À» ÀÚµ¿ Áø´ÜÇÏ´Â ÀΰøÁö´É(AI) ¸ðµ¨À» °³¹ßÇß´Ù. ±Þ¼ºÃæ¼ö¿°Àº ÀÓ»ó ¾ç»óÀÌ ´Ù¾çÇϰí, CT °Ë»ç¸¦ ÅëÇØ¼­µµ ºñÁ¤»óÀûÀÎ Ãæ¼ö°¡ ¹ß°ßµÇÁö ¾Ê¾Æ ´Ù¸¥ ¼ÒÈ­±â ÁúȯÀ¸·Î ¿ÀÁøÇÏ´Â ¶§µµ ÀÖ´Ù. ÀÌ AI ¸ðµ¨ÀÌ ½Ç¿ëÈ­µÈ´Ù¸é Ãæ¼ö¿° ¿ÀÁøÀ» ÁÙÀ̰í, ´õ¿í ½Å¼ÓÇÑ È¯ÀÚ Áø·á°¡ °¡´ÉÇØÁø´Ù. ¶Ç ÀÀ±Þ½Ç ÀηÂÀ» º¸´Ù È¿À²ÀûÀ¸·Î ¿î¿µÇÏ´Â µ¥ µµ¿òÀÌ µÉ °ÍÀ¸·Î ¿¹»óµÈ´Ù.

    ÇѸ²´ëÇб³¼º½Éº´¿ø ¿Ü°ú ¿¬±¸ÆÀ°ú ÇѸ²´ëÇб³ÀÇ·á¿ø ÀÇ·áÀΰøÁö´É¼¾ÅÍ´Â CT ¿µ»óÀ» ½Ç½Ã°£À¸·Î °üÂûÇØ¼­ Ãæ¼ö¿°À» ÀÚµ¿ÆÇµ¶ÇØÁÖ´Â AI ¸ðµ¨À» °³¹ßÇß´Ù.

    ÈçÈ÷ ¸ÍÀå¿°À¸·Î ¾Ë°í ÀÖ´Â Ãæ¼ö¿°Àº ¸ÍÀå ³¡ ºÎÀ§ÀÎ Ãæ¼öµ¹±â¿¡ ¿°ÁõÀÌ ¹ß»ýÇÏ´Â °ÍÀ» ¸»ÇÑ´Ù. Áõ»óÀ¸·Î´Â ±¸¿ªÁú, ±¸Åä, ¸Þ½»°Å¸² µîÀÇ Áõ»óÀÌ ³ªÅ¸³ª´Ù°¡ ¸íÄ¡ ºÎÀ§¿Í »óº¹ºÎ¿¡ Á¡Â÷ ÅëÁõ °­µµ°¡ ½ÉÇØÁö´Â Ư¡ÀÌ ÀÖ´Ù. »óº¹ºÎ ÅëÁõÀº ½Ã°£ÀÌ Áö³ª¸é ¹è²Å ÁÖÀ§¸¦ °ÅÃÄ Ãæ¼öÀÇ À§Ä¡ÀÎ ¿ìÇϺ¹ºÎ ÅëÁõÀ¸·Î ¹Ù²î´Âµ¥, ¼­¼­È÷ ¹Ì¿­ÀÌ ³ªÅ¸³ª°í Çѱ⸦ ´À³¢±âµµ ÇÑ´Ù.

    ±Þ¼ºÃæ¼ö¿°Àº ¼ö¼ú Åë°è 5À§¸¦ Â÷ÁöÇÏ´Â ´Ùºóµµ ÁúȯÀÎ µ¿½Ã¿¡ ¿ÀÁø ¹ß»ýÀÌ °¡´ÉÇÑ ÁúȯÀÌ´Ù. Áúȯ Ư¼º»ó ±Þ¼ºÃæ¼ö¿° ÀÇ½É Áõ»óÀ¸·Î º´¿øÀ» ã´Â ȯÀÚ´Â ¾ß°£À̳ª ÁÖ¸» ÀÀ±Þ½ÇÀ» ÅëÇØ º´¿øÀ» ã´Â °æ¿ì°¡ ¸¹´Ù. À̶§´Â º¹ºÎ ¿µ»óÀÇÇаú Àü¹®ÀÇ¿¡ ÀÇÇÑ Á¤È®ÇÑ ÆÇµ¶ÀÌ Á¦ÇÑµÉ ¼ö ÀÖ´Ù. °Ô´Ù°¡ ±Þ¼ºÃæ¼ö¿°Àº ÀÓ»ó ¾ç»óÀÌ ´Ù¾çÇϰí, CT ¿µ»óÀ» ÅëÇØ¼­µµ ºñÁ¤»óÀûÀÎ Ãæ¼ö°¡ ¹ß°ßµÇÁö ¾Ê¾Æ ´Ù¸¥ ¼ÒÈ­±â ÁúȯÀ¸·Î ¿ÀÁøÇÏ´Â °æ¿ìµµ ÀÖ´Ù.

    ¹®Á¦´Â Ãæ¼ö¿° Áø´ÜÀÌ ´Ê¾îÁö¸é õ°øÀÌ ¹ß»ýÇÒ ¼ö ÀÖ°í, Ãæ¼ö¿°ÀÇ ¿ìÃø ÇϺ¹ºÎ ¿°ÁõÀÌ º¹¸·¿°À̳ª °ñ¹Ý³»³ó¾çÀ¸·Î ¹ßÀüµÇ¸é Ãæ¼öÀýÁ¦¼ú ÀÌ»óÀÇ ¿Ü°úÀû óġ·Î Ä¿Áú ¼ö ÀÖ´Ù´Â °ÍÀÌ´Ù. °Ô´Ù°¡ ¼ö¼ú ÈÄ ÇÕº´Áõµµ ³ô¾ÆÁø´Ù.

    ÇѸ²´ë¼º½Éº´¿ø ¿¬±¸ÆÀÀÌ °³¹ßÇÑ ÀÌ AI¡¡¸ðµ¨Àº CT ¿µ»óÀ» ½Ç½Ã°£À¸·Î °üÂûÇØ ´ëÀå¿°, ¸»´ÜȸÀå¿°, »óÇà°áÀå°Ô½Ç¿° µî Ãæ¼ö¿°°ú ÀÓ»óÀûÀ¸·Î À¯»çÇÑ ÁúȯÀ» °É·¯³»°í Ãæ¼ö¿°¸¸À» Á¤È®ÇÏ°Ô Áø´ÜÇÏ´Â °ÍÀÌ °¡´ÉÇÏ´Ù.

    ¿¬±¸ÆÀÀº 2013³âºÎÅÍ 2020³â±îÁö ÇѸ²´ëÇб³ÀÇ·á¿ø¿¡¼­ Ãæ¼ö¿° Áø·á¸¦ À§ÇØ CT ÃÔ¿µÇÑ È¯ÀÚ 4701¸íÀÇ µ¥ÀÌÅÍ¿Í 2019³âºÎÅÍ ¿ÃÇØ 5¿ù±îÁö ÀÀ±Þ½ÇÀ» ³»¿øÇØ º¹ºÎ ÅëÁõÀ¸·Î CT ÃÔ¿µÇÑ È¯ÀÚ 4452¸íÀÇ µ¥ÀÌÅ͸¦ ºÐ¼®Çß´Ù.

    ÀÌÈÄ Ãæ¼ö¿° ȯÀÚ 1839¸í, Ãæ¼ö¿°ÀÌ ¾Æ´Ñ °ÍÀ¸·Î Áø´Ü¹ÞÀº 1782¸íÀÇ µ¥ÀÌÅ͸¦ °É·¯³»°í ¡®3D ÄÁº¼·ç¼Ç ½Å°æ¸Á(Convolutional Neural Network, CNN)¡¯À» Ȱ¿ëÇÑ ¸ðµ¨¿¡ ÇнÀ½ÃÄ×´Ù.

    ÇнÀÀ» ¸¶Ä£ AI¸ðµ¨ÀÇ Ãæ¼ö¿° Áø´Ü Á¤È®µµ´Â 89.4%·Î ³ªÅ¸³µ´Ù. AI¸ðµ¨ÀÇ ¼º´ÉÀ» Æò°¡ÇÏ´Â µ¥ »ç¿ëÇÏ´Â ¡®°î¼±ÇϸéÀû(Area Under the Curve, AUC)¡¯ Á¡¼ö´Â 0.890À¸·Î ³ªÅ¸³ª ½ÇÁ¦ ÀÓ»ó¿¡ Àû¿ëÇÒ ¼ö ÀÖ´Â ¿ì¼öÇÑ °á°ú¸¦ º¸¿´´Ù.

    Á¶¹üÁÖ ÀÇ·áÀΰøÁö´É¼¾ÅÍÀåÀº ¡°À̹ø AI´Â ±âÁ¸ ¸ðµ¨µé°ú ´Þ¸® 3Â÷¿ø CT¿µ»óÀ» ÀÔüÀûÀ¸·Î ÀνÄÇß´Ù´Â Á¡¿¡¼­ ÀÇÀǰ¡ ÀÖ´Ù¡±°í Çß´Ù.

    ¼ÕÀÏÅ ±³¼ö´Â ¡°À̹ø AI ¸ðµ¨ÀÇ ¹Î°¨µµ, °î¼±ÇϸéÀûÁ¡¼ö, F1 Á¡¼ö µîÀ» ³ôÀ̱â À§ÇØ ´Ù¾çÇÑ ¹æ¹ýÀ» °ËÅäÇϰí ÀÖ´Ù¡±¸é¼­ ¡°À̹ø ¸ðµ¨ÀÇ »ó¿ëÈ­ ÀÛ¾÷°ú ´õºÒ¾î ÇâÈÄ Ãæ¼ö¿Í °ü·ÃµÈ ¸ðµç ÁúȯÀÇ ÀÚµ¿ ÆÇµ¶À» ¸ñÇ¥·Î ¿¬±¸ÇÒ °èȹ¡±À̶ó°í ¸»Çß´Ù.

    À̹ø AI ¸ðµ¨Àº ÃÖ±Ù ¿­¸° ±¹Á¦ ´ëÇѿܰúÇÐȸ ¹× ´ëÇѿܰúÀÇ»çȸ Ãß°èÇмú´ëȸ¿¡¼­ ¹ßÇ¥µÅ ¡®ÃÖ¿ì¼ö ¿¬±¸ÀÚ»ó(Best Principle Investigator)¡¯À» ¼ö»óÇß´Ù. [³¡]